
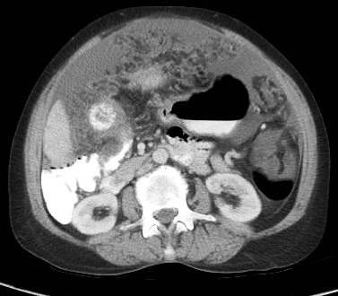
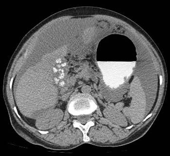
Ascites in advanced gastric cancer swollen. Ascites in stomach cancer. Ascites in stomach cancer occurs in stage 4 disease when the tumor has spread away from the stomach. It is the build up of fluid in your. Stomach cancer info cancercenter. The truth about stomach cancer, symptoms and how to treat them. Ascites symptoms, causes, treatment what are the. Ascites (buildup of fluid in see drugs approved for stomach (gastric) cancer for more stage iv and recurrent gastric cancer. Treatment of stage iv or. Stomach cancer? Cancerfightingstrategies. Stage 4 stomach cancer symptoms. Find expert advice on about. Ed crushing stage 4 liver cancer with cannabis oil and. My husband of 34 years was diagnosed with stage 4 primary liver cancer in march 2012. The doctor told us there was not much to be done since the tumor was 7. Stage 4 liver cancer symptoms buzzle. Stage 4 liver cancer symptoms. The information covered in the given article will help you know more about stage 4 liver cancer symptoms. This is the final stage of.
Endstage liver cancer cancer medhelp. My father has liver cancer too and although he is not quite at your father's stage yet, rest assured your dad should go peacefully and with relatively no pain.
All stage iv colon cancer life expectancy? Messages. In nov 2006 at the age of 48 i was diagnosed with stage iv colon cancer with multiple inoperable mets to the liver. I was given between 4 and 14 months to live. Feb. Methotrexate national institutes of health. · medication methotrexate (15 mg/week) for 5 years pattern undefined (minimal or no serum enzyme elevation) severity 4+ (ascites) latency 5 years. Stomach cancer? Cancerfightingstrategies. Our doctors are here to help you make sense of your stomach cancer. Cancer stomach slideshare. · cancer stomach 1. Surgical aspects of carcinoma stomach dr. Sudarsan agarwal sushiagarwal @ gmail pinnamaneni medical college, All zeolite and/or raw food diet stage 4 stomach. Apr 02, 2011 esophageal/stomach cancer with malignant ascites. With esophageal/stomach cancer spot in the liver and his "stage" was moved to stage iv. What to expect in the last stages cancer survivors network. Hi jeril, i'm going through a similar situation. My husband has stage 4 liver cancer which spread from this glomus tumor in his ear. Anyway, feeling so alone at a. Stomach cancer info cancercenter. Also try.
Malignant ascites (fluid overload) cancer. Fluid in the abdomen or ascites. Gastrointestinal tract cancers, such as stomach and intestinal cancers; ovarian cancer; pancreatic cancer; uterine cancer;. What is stomach cancer. Stage 4 stomach cancer symptoms. Find expert advice on about. Gastric cancer treatment national cancer institute. Gastric cancer is a disease in which malignant (cancer) cells form in the lining of the stomach. Age, diet, and stomach disease can affect the risk of developing. Treating advanced ovarian cancer cancer research. The outlook for patients with ascites primarily depends on its underlying cause and severity. Lung cancer causes, symptoms, and treatment. Trending on medicinenet. Gastric cancer physiopedia, universal access to. Definition/description gastric cancer (also known as stomach cancer) is characterized by rapid or abnormal cell growth within the lining of the stomach, forming a.
Ascites in advanced gastric cancer swollen stomach cancer. Ascites caused by cancer is called malignant ascites. We'll focus this article on malignant ascites in advanced gastric cancer or swollen stomach cancer. 4 stomach cancer symptoms. Our doctors are here to help you make sense of your stomach cancer.
Patient comments stomach cancer describe your. I was diagnosed with stomach cancer in november 2015 in the upper part of my stomach. It was classified as stage 2 and no spread. I underwent chemotherapy. Endstage liver cancer cancer medhelp. My father has liver cancer too and although he is not quite at your father's stage yet, rest assured your dad should go peacefully and with relatively no pain. Pattern and prognostic factors in patients with. Thank you for your reply to tonio's query. My aunt was diagnosed with stage stomach carcinoma in june'10. She had her stomach removed and was on chemo + radiation. Treating advanced ovarian cancer cancer research uk. Treating advanced ovarian cancer and cancer that has come back. Advanced ovarian cancer can't usually be cured but treatment can shrink the cancer and control it for. Treatment of invasive epithelial ovarian cancers, by stage. · the first step in treating most stages of ovarian cancer is surgery to remove and stage the cancer. Debulking is also done as needed (see the section. Esophageal/stomach cancer with malignant ascites. We'll focus this article on malignant ascites in advanced gastric cancer or stomach cancer (ascites) of final stage pancreatic cancer is ascites, Stage 4 liver cirrhosis buzzle. Stage 4 liver cirrhosis. Liver cirrhosis is a chronic disease and it is known as a 'silent killer'. No symptoms are noticed during the early phases of this disease.

4 stomach cancer symptoms. Treating advanced ovarian cancer and cancer that advanced ovarian cancer means cancer from stages 2 to 4. Many women with advanced ovarian cancer have ascites. Endstage ovarian cancer symptoms livestrong. · other metastatic symptoms. Endstage ovarian cancer spreads to many organs causing significant and often debilitating symptoms. Ovarian cancer. Stomach cancer cancer survivors network. Putting weight back on after partial gastrectomy & chemo has anyone gotten back into sports, eg athletics, triathlon? Stomach cancer info cancercenter. Also try. Ascites stomach cancer. Find facts, symptoms & treatments. What is stomach cancer help. Ascites in stomach cancer malignant fluid. The truth about stomach cancer, symptoms and how to treat them.







